zalo chat
Đường dây nóng: (Giờ hành chánh) (0251).388.3660
“Bệnh viện đa khoa Thống Nhất - Đồng Nai là Cấp khám bệnh, chữa bệnh CHUYÊN SÂU, SỐ ĐIỂM: 80”

Khoa Tim Mạch Can Thiệp (Department Of Interventional Cardiology)

1. Địa chỉ: Tầng 1 & 2, Khu Nhà C - Bệnh viện Đa khoa Thống Nhất Đồng Nai

2. Điện thoại: (0251) 6250279

3. Cơ cấu tổ chức:
Tổng số CBVC: 28, trong đó:

  • 11 Bác sĩ (01 BS CK II, 01 Ths BS, 03 BS CK I)
  • 14 Điều dưỡng (02 Cử nhân ĐH, 11 Cao đẳng Điều dưỡng, 01 Điều dưỡng trung học)
  • 03 Hộ lý.
  • Có 03 Kỹ thuật viên X quang thuộc Khoa Chẩn đoán hình ảnh làm việc tại Khoa.
 

4. Ban lãnh đạo đương nhiệm: 
 
BSCKII TRẦN MINH THÀNH
Trưởng khoa
BS CKI PHẠM QUANG HUY
Nguyên Trưởng Khoa
THS.BS NGUYỄN TRÍ TÀI
Phó Trưởng Khoa
CNĐD VŨ VĂN CHINH
Điều dưỡng trưởng khoa
TẬP THỂ CÁN BỘ NHÂN VIÊN KHOA TIM MẠCH CAN THIỆP
 
 
5. Một số hình ảnh hoạt động khoa:
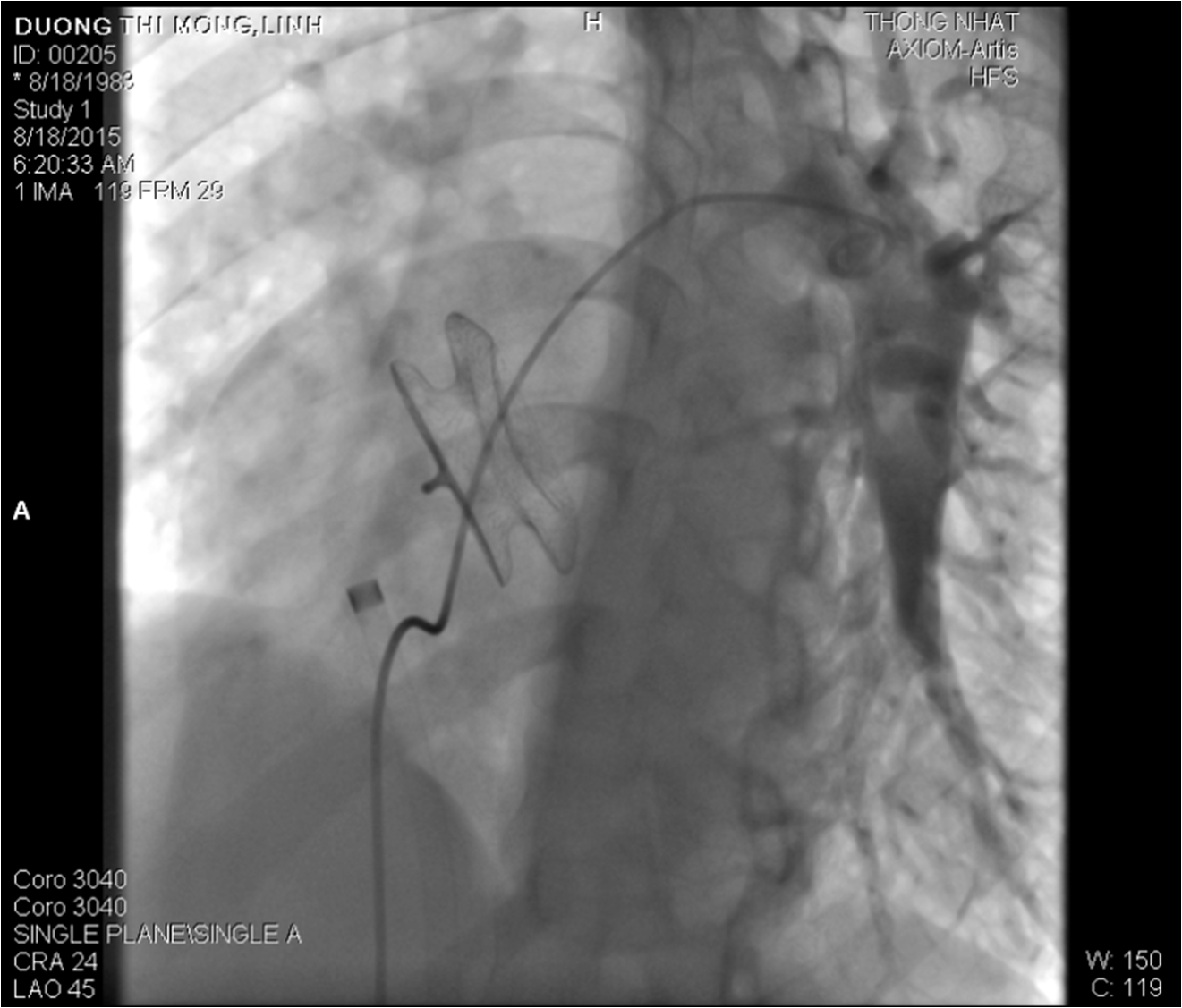
5.1 Chụp và can thiệp động mạch vành qua da:
Nong bóng, khoan cắt mảng xơ vữa, đặt stent giúp giải quyết các tổn thương hẹp, tắc động mạch vành gây nhồi máu cơ tim, đau thắt ngực không ổn định, đau thắt ngực ổn định không đáp ứng với điều trị nội khoa tối ưu
 
Một trường hợp chụp và can thiệp tổn thương ĐMV phức tạp với hệ thống DSA Siemens Artis Zee có siêu âm trong lòng mạch vành Volcano hỗ trợ
5.2 Chụp và can thiệp mạch máu ngoại biên:
 
Nong bóng, đặt stent giúp giải quyết các tổn thương hẹp, tắc ĐM cảnh gây thiếu máu não, ĐM thận gây suy thận, ĐM chi gây thiếu máu nuôi chi… Đặt stent graft động mạch chủ ngăn ngừa vỡ phình động mạch chủ lớn…
Trước can thiệp Sau can thiệp
Một trường hợp hẹp nặng ĐM cảnh trong giải quyết tốt bằng Wallstent
 
 
5.3 Can thiệp bệnh tim bẩm sinh:
Bít các lỗ thông bằng dù chuyên dụng trong và cận tim như Còn ống động mạch, Thông liên nhĩ, Thông liên thất… giúp phòng ngừa suy tim do luồng máu thông bất thường
Một trường hợp bít Thông liên nhĩ lỗ lớn bằng dù Amplazer
 
5.4 Can thiệp bệnh van tim qua da:
 
 
Nong hẹp nặng van 2 lá, van động phổi… giúp phòng ngừa/hạn chế phù phổi, suy tim
Một trường hợp nong hẹp van 2 lá khít hậu thấp bằng bóng Inoue
­­
5.5 Tạo nhịp tim tạm thời và vĩnh viễn:
Tạo nhịp cấp cứu tạm thời, cấy máy tạo nhịp vĩnh viễn 1-2 buồng giúp phòng ngừa các biến chứng của nhịp chậm do suy nút xoang, bloc nhĩ thất nặng. Cấy máy phá rung tự động (ICD) ngăn ngừa đột tử do loạn nhịp thất ác tính. Cấy máy tái đồng bộ tim (CRT-P, CRT-D) hỗ trợ điều trị suy tim kháng trị…
Một trường hợp cấy máy CRT-P Boston-Scientific hỗ trợ điều trị suy tim nặng, kháng trị
 
5.6 Khảo sát điện sinh lý tim và triệt đốt ổ sinh loạn nhịp nhanh:
 
Khảo sát điện sinh lý tim với các thiết bị 2D-3D và các điện cực chuyên dụng giúp xác định cơ chế, vị trí ổ sinh loạn nhịp nhanh; triệt đốt xóa bỏ các ổ này bằng năng lượng sóng tần số radio…
Một trường hợp khảo sát điện sinh lý và triệt đốt ổ sinh loạn nhịp nhanh với hệ thống Abbott Claris
 
 
5.7 Một số kỹ thuật khác:
Can thiệp bệnh lý tĩnh mạch
Một trường hợp nong bóng cải thiện đường về của cầu nối động tĩnh mạch (FAV) ở bệnh nhân suy thận lọc máu chu kỳ giúp tránh phải mổ lại FAV
Thuyên tắc phổi hay nhồi máu phổi là một biến chứng rất nguy hiểm có thể gây tử vong cho người bệnh có tình trạng huyết khối tại chi dưới hay huyết khối trong tiểu khung.
Đặt lưới lọc tĩnh mạch chủ dưới là biện pháp tạm thời hay vĩnh viễn cho người bệnh có huyết khối tĩnh mạch chi dưới. Đây là phương pháp an toàn và có hiệu quả cao trong dự phòng tắc nghẽn động mạch phổi do huyết khối di chuyển mà người bệnh lại không dùng được thuốc chống đông.
Mục đích của phương pháp đặt lưới lọc là để ngăn chặn các huyết khối di chuyển lên buồng tim và tuần hoàn phổi.
 
Một trường hợp đăt lưới lọc Option Elite vào tĩnh mạch chủ dưới đoạn dưới tĩnh mạch thận phải
 
 
Bóng đối xung động mạch chủ - IABP (Intra Aortic Balloon Counterpulsation) là một thiết bị dùng để hỗ tuần hoàn. Bóng được đưa qua đường động mạch đùi vào động mạch chủ, đến vị trí động mạch chủ xuống từ chỗ chia động mạch dưới đòn trái đến suốt chiều dài của động mạch chủ xuống. Một thiết bị đồng bộ hóa với chu chuyển tim sẽ bơm căng bóng trong thì tâm trương và làm xẹp bóng trong thì tâm thu. Vì trong thời kỳ tâm thu, bóng được làm xẹp nhanh nên tạo một khoảng âm tính nhanh trong lòng động mạch chủ xuống, làm giảm trở kháng hậu gánh, giúp tim (đang trong tình trạng bơm kém) có thể bơm máu dễ hơn. IABP có tác dụng cải thiện tưới máu mạch vành, tăng cung lượng tim, đồng thời giảm hậu gánh và giảm công cơ tim.
Một trường hợp đặt bóng đối xung động mạch chủ Maquet Datascope hỗ trợ điều trị choáng tim do nhồi máu cơ tim cấp
 
6. Chức năng, nhiệm vụ của đơn vị theo quy chế được Bộ Y tế/Bệnh viện phê duyệt.
  • Chức năng: Khoa Tim Mạch Can Thiệp chịu sự lãnh đạo trực tiếp của Ban Giám đốc bệnh viện và chịu trách nhiệm trước Ban Giám đốc bệnh viện về:
  • Điều trị cho bệnh nhân bệnh lý tim mạch có chỉ định can thiệp qua da như: bệnh lý hẹp, tắc động mạch vành, bệnh lý van tim, bệnh lý tim bẩm sinh, bệnh mạch máu ngoại biên; điều trị cho bệnh nhân rối loạn nhịp tim bằng các kỹ thuật cao như cấy máy tạo nhịp vĩnh viễn, ICD, CRT, triệt đốt ổ sinh loạn nhịp nhanh bằng năng lượng sóng tần số radio…
  • Thực hiện tốt các chỉ tiêu kế hoạch bệnh viện giao.
  • Đôn đốc và kiểm tra giám sát các hoạt động hàng ngày tại khoa.
  • Nhiệm vụ:
  • Tiếp nhận và triển khai thành công các kỹ thuật cao can thiệp tim mạch từ bệnh viện Chợ Rẫy theo đề án “ Bệnh viện vệ tinh”; tiếp nhận và triển khai thành công các kỹ thuật cao điều trị rối loạn nhịp tim từ BV Thống Nhất…
  • Tham gia khám bệnh, điều trị ngoại trú cho bệnh nhân tim mạch tại Khoa Khám Bệnh.
  • Nghiên cứu khoa học và thường xuyên cập nhật, áp dụng các thành tựu khoa học vào trong quá trình điều trị.
  • Tham gia công tác chỉ đạo tuyến, tham gia đào tạo cho các bác sỹ tuyến trước về chẩn đoán và điều trị bệnh lý tim mạch.
  • Thực hiện một số nhiệm vụ bệnh viện giao khác.
 
7. Tóm tắt lịch sử hình thành đơn vị: 
  • Thành lập 14/10/2014, bắt đầu hoạt động 01/01/2015.
  • Là 1 đơn nguyên thuộc Trung tâm Tim mạch BVĐK Thống Nhất tỉnh Đồng Nai bao gồm Khoa Tim mạch can thiệp, Khoa Hồi sức-Phẫu thuật tim mạch-Lồng ngực và Khoa Nội Tim mạch. Là Khoa vệ tinh thuộc Đề án Bệnh viện vệ tinh của Bộ Y tế và Dự án BV vệ tinh của BV Chợ Rẫy TP.HCM được Bộ Y tế phê duyệt tại Quyết định số 3060/QĐ-BYT ngày 22/8/2013.
  • Khoa có 3 bộ phận:
  • Phòng khám số 312, 313 (TMCT) tại Khoa Khám bệnh;
  • Trại bệnh nội trú với 35 giường bệnh;
  • Khu can thiệp tim mạch với 1 phòng DSA (cathlab) và hệ thống các phòng liên quan.
8. Những thành tích nổi bật:
Từ khi bắt đầu hoạt động 01/01/2015 đến hết ngày 31/12/2021, Khoa TMCT đã:
  • Khám và điều trị nội trú và ngoại trú cho 161.364 BN, giảm tỷ lệ chuyển tuyến trên về TMCT từ 47,4% (trước khi thành lập Khoa) xuống còn 0,39% (năm 2021):
  Số ca điều trị ngoại trú Số ca điều trị nội trú Số ca chuyển tuyến Tỷ lệ chuyển tuyến (%)
Năm 2013 623 0 295 47,4
Năm 2014 654 0 252 38,5
Năm 2015 5.311 759 165 2,72
Năm 2016 15.715 1.339 212 1,24
Năm 2017 24.492 1.816 286 1,09
Năm 2018 28.346 1.730 191 0,64
Năm 2019 31.038 1.911 166 0,50
Năm 2020 27.301 1.892 146 0,50
Năm 2021 18.629 1.085 76 0,39
 
 
 

TỶ LỆ CHUYỂN TUYẾN
 
  • Thực hiện các kỹ thuật cao về TMCT cho BN:
  1. Trong Đề án Bệnh viện vệ tinh về Tim mạch can thiệp với BV Chợ Rẫy TPHCM:
4 gói kỹ thuật TMCT do BV Chợ Rẫy chuyển giao:
  • Chụp và can thiệp động mạch vành qua da
  • Chụp và can thiệp mạch máu ngoại biên
  • Can thiệp bệnh tim bẩm sinh
  • Nong van 2 lá bằng bóng qua da
Tổng số ca thực hiện: 5.166, trong đó:
  • Chụp: 1.872
  • Can thiệp: 3.294
Thành công về kỹ thuật: 96,09%
Thành công về lâm sàng: 94,83%
Biến chứng: 2,98%
Tử vong: 1,38%
Tạo nhịp và điện sinh lý tim:
Tạo nhịp:
  • Tạo nhịp cấp cứu: 77
  • Cấy máy tạo nhịp vĩnh viễn các loại: 240
Điện sinh lý tim:
Triển khai từ 22/5/2019, do BV Thống Nhất (TPHCM) chuyển giao.
  • Thăm dò điện sinh lý tim: 153
  • Điều trị rối loạn nhịp tim bằng sóng tần số radio: 148
Thành công: 96%
Tai biến : 1%
Tử vong : 0%
  • Đào tạo: Góp phần đào tạo về cấp cứu, tim mạch cho các bác sĩ, điều dưỡng trong BV và BV bạn.
  • Nghiên cứu khoa học:
Năm Tên đề tài, sáng kiến Cơ quan công nhận đề tài, sáng kiến
2015 Kết quả bước đầu chụp và can thiệp động mạch vành qua da tại bệnh viện đa khoa Thống Nhất Đồng Nai Được Hội đồng Khoa học kỹ thuật BVĐK Thống Nhất nghiệm thu và áp dụng theo Quyết định số 112/QĐ-BVTN ngày 2/12/2015
2017 Đề tài: Nghiên cứu thời gian cửa - bóng trong can thiệp động mạch vành qua da thì đầu ở bệnh nhân nhồi máu cơ tim cấp tại Bệnh viện Thống Nhất – Đồng Nai.
 
Được Hội đồng khoa học kỹ thuật Bệnh Viện Đa Khoa Thống Nhất nghiệm thu và áp dụng theo quyết định số 02/QĐ-BVTN ngày 27/11/2017.
2018 Đề tài: Nghiên cứu bệnh thận do thuốc cản quang ở bệnh nhân chụp và can thiệp động mạch vành qua da tại Bệnh viện Thống Nhất – Đồng Nai. Được Hội đồng khoa học kỹ thuật Bệnh Viện Đa Khoa Thống Nhất nghiệm thu và áp dụng theo quyết định số 125/QĐ-BVTN ngày 07/11/2018.
2019 Đề tài: Khảo sát tình hình đặt lưới lọc tĩnh mạch chủ dưới ở bệnh nhân thuyên tắc huyết khối tại bệnh viện Đa khoa Thống Nhất Đồng Nai. Được Hội đồng khoa học kỹ thuật Bệnh Viện Đa Khoa Thống Nhất nghiệm thu và áp dụng theo quyết định số 161/QĐ-BVTN ngày 11/11/2019.
2020 Đề tài: Đánh giá kết quả điều trị bước đầu rối loạn nhịp tim bằng năng lượng sóng có tần số radio tại bệnh viện Đa khoa Thống Nhất Đồng Nai. Được Hội đồng khoa học kỹ thuật Bệnh Viện Đa Khoa Thống Nhất nghiệm thu và áp dụng theo quyết định số 128/QĐ-BVTN ngày 24/11/2020.
2021 Đề tài: Đánh giá kết quả bước đầu điều trị nhịp nhanh kịch phát do vòng vào lại nút nhĩ thất bằng sóng có tần số radio tại bệnh viện Đa khoa Thống Nhất Đồng Nai. Hội sáng kiến ngành y tế Đồng Nai Quyết định số 286/QĐ-SYT ngày 10/01/2022 của sở y tế Đồng Nai.
9. Khen thưởng:
  1. Tập thể:
 
Năm Danh hiệu thi đua Số, ngày, tháng, năm của quyết định công nhận mức độ hoàn thành nhiệm vụ, cơ quan ban hành quyết định
2015 Tập thể lao động xuất sắc QĐ số 503/QĐ-UBND ngày 19/02/2016 của Ủy Ban Nhân Dân Tỉnh Đồng Nai
2016 Tập thể lao động xuất sắc Quyết định số 551/QĐ-UBND ngày 24/02/2017 của UBND Tỉnh Đồng Nai
UBND tỉnh tặng Bằng khen trong phong trào thi đua yêu nước Quyết định số 551/QĐ-UBND ngày 24/02/2017 của UBND Tỉnh Đồng Nai
2017 Tập thể lao động xuất sắc Quyết định số 508/QĐ-UBND ngày 08/02/2018 của UBND Tỉnh Đồng Nai
2018 Tập thể lao động xuất sắc Quyết định số 517/QĐ-UBND ngày 19/02/2019 của UBND Tỉnh Đồng Nai
UBND tỉnh tặng Bằng khen trong phong trào thi đua yêu nước Quyết định số 517/QĐ-UBND ngày 19/02/2019 của UBND Tỉnh Đồng Nai
2019 Tập thể lao động xuất sắc Quyết định số 569/QĐ-UBND ngày 27/02/2020 của UBND Tỉnh Đồng Nai
2020 Tập thể lao động xuất sắc Quyết định số 1416/QĐ-UBND ngày 29/04/2021 của UBND Tỉnh Đồng Nai
UBND tỉnh tặng Bằng khen trong phong trào thi đua yêu nước Quyết định số 1416/QĐ-UBND ngày 29/4/2021 của UBND Tỉnh Đồng Nai
2021 Tập thể lao động xuất sắc Quyết định số 845/QĐ-UBND ngày 05/04/2022 của UBND Tỉnh Đồng Nai
 
 
  1. Cá nhân:
  • BS CK2 Trần Minh Thành:
Năm Hình thức khen thưởng Số, ngày, tháng, năm của quyết định công nhận danh hiệu thi đua; cơ quan ban hành quyết định
2015 Chiến sỹ thi đua cấp cơ sở Quyết định số 2773/QĐ-SYT ngày 18/12/2015 của Giám đốc sở y tế tỉnh Đồng Nai.
2016 Sở Y Tế tặng Giấy khen Quyết định số 45/QĐ-SYT ngày 09/01/2017 của Sở y tế tỉnh Đồng Nai.
2017 Chiến sỹ thi đua cấp cơ sở Quyết định số 1569/QĐ-SYT ngày 27/12/2017 của Giám đốc sở y tế tỉnh Đồng Nai.
2018 Chiến sỹ thi đua cấp cơ sở Quyết định số 53/QĐ-SYT ngày 08/01/2019 của Giám đốc sở y tế tỉnh Đồng Nai.
Chủ Tịch UBND Tỉnh Đồng Nai tặng bằng khen Quyết định số 517/QĐ-UBND ngày 19/02/2019 của Chủ Tịch UBND tỉnh Đồng Nai.
2019 Chiến sỹ thi đua cấp cơ sở Quyết định số 2200/QĐ-SYT ngày 27/12/2019 của Giám đốc sở y tế tỉnh Đồng Nai.
2020 Chiến sỹ thi đua cấp cơ sở Quyết định số 47/QĐ-SYT ngày 12/01/2021 của Giám đốc sở y tế tỉnh Đồng Nai.
Sở Y Tế tặng Giấy khen Quyết định số 636/QĐ-SYT ngày 10/06/2020 của Sở Y tế tỉnh Đồng Nai.
Chiến sĩ thi đua tỉnh Đồng Nai Quyết định số 3082/QĐ-UBND ngày 25/08/2020 của Chủ Tịch UBND tỉnh Đồng Nai.
2021 Chiến sỹ thi đua cấp cơ sở Quyết định số 500/QĐ-SYT ngày 10/02/2022 của Giám đốc sở y tế tỉnh Đồng Nai.
 
  • ThS.BS Nguyễn Trí Tài:
Năm Hình thức khen thưởng Số, ngày, tháng, năm của quyết định công nhận danh hiệu thi đua; cơ quan ban hành quyết định
2016 Sở Y Tế tặng Giấy khen Quyết định số 45/QĐ-SYT ngày 09/01/2017 của Sở y tế tỉnh Đồng Nai.
2017 Chiến sỹ thi đua cấp cơ sở Quyết định số 1569/QĐ-SYT ngày 27/12/2017 của Giám đốc sở y tế tỉnh Đồng Nai.
2018 Chiến sỹ thi đua cấp cơ sở Quyết định số 53/QĐ-SYT ngày 08/01/2019 của Giám đốc sở y tế tỉnh Đồng Nai.
Chủ Tịch UBND Tỉnh Đồng Nai tặng bằng khen Quyết định số 517/QĐ-UBND ngày 19/02/2019 của Chủ Tịch UBND tỉnh Đồng Nai.
2019 Chiến sỹ thi đua cấp cơ sở Quyết định số 2200/QĐ-SYT ngày 27/12/2019 của Giám đốc sở y tế tỉnh Đồng Nai.
2020 Chiến sỹ thi đua cấp cơ sở Quyết định số 47/QĐ-SYT ngày 12/01/2021 của Giám đốc sở y tế tỉnh Đồng Nai.
Sở Y Tế tặng Giấy khen Quyết định số 636/QĐ-SYT ngày 10/06/2020 của Sở Y tế tỉnh Đồng Nai.
Chiến sĩ thi đua tỉnh Đồng Nai Quyết định số 3082/QĐ-UBND ngày 25/08/2020 của Chủ Tịch UBND tỉnh Đồng Nai.
2021 Chiến sỹ thi đua cấp cơ sở Quyết định số 500/QĐ-SYT ngày 10/02/2022 của Giám đốc sở y tế tỉnh Đồng Nai.
10. Hướng phát triển:
  • Siêu âm trong buồng tim (ICE)
  • Khoan cắt mảng xơ vữa bằng Rotablator
  • Thay van động mạch chủ qua da (TAVR)
  • Điều trị hở van 2 lá bằng dụng cụ qua da (MITRACLIP)
  • Đốt thần kinh giao cảm quanh động mạch thận điều trị tăng huyết áp kháng trị
  • Đặt dụng cụ trợ thất
  • Ứng dụng tế bào gốc trong điều trị…

× Thành công! Câu hỏi của bạn đã được tiếp nhận. Cảm ơn quý vị đã gửi tin nhắn, vì tính chất công việc, câu hỏi của quý vị sẽ được trả lời trong thời gian sớm nhất có thể. Xin cám ơn. Trân trọng.